Skip to content
Menu
About
Cases
vascular
Obstetrics
Gynecology
Abdomen
pediatrics
Small Parts
Chest
Registry Review
Protocols
Pathology
Links
Radiopaedia
Radiology Assistant
Sonoworld
Ultrasoundcases.info
Sonographic Tendencies
(Practical Sonography)
13925406_1069056016515276_5840084553388414966_n
Leave a Reply
Cancel reply
Δ
Post navigation
Previous Post
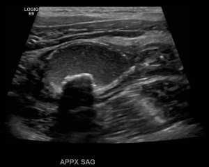
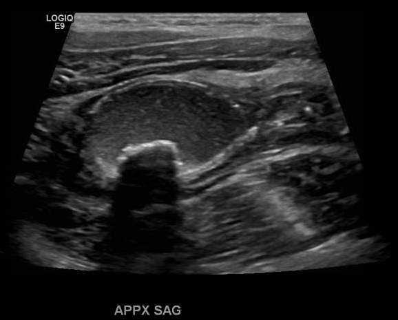
Appendix Ultrasound
Comment
Subscribe
Subscribed
Sonographic Tendencies
Join 456 other subscribers
Sign me up
Already have a WordPress.com account?
Log in now.
Sonographic Tendencies
Subscribe
Subscribed
Sign up
Log in
Copy shortlink
Report this content
View post in Reader
Manage subscriptions
Collapse this bar