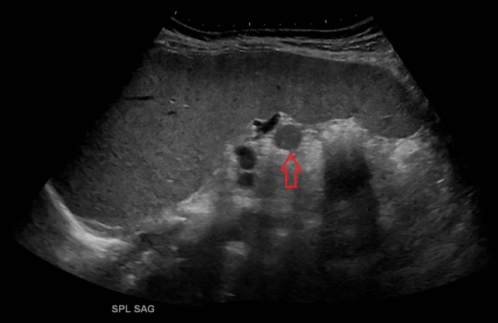
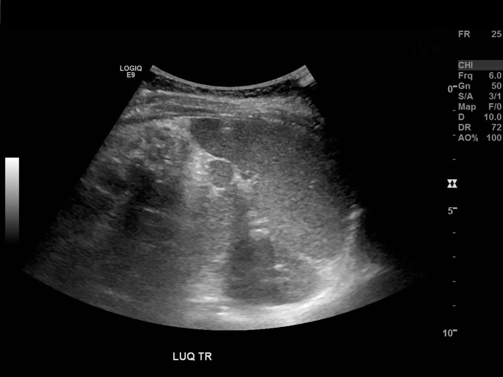
An accessory spleen is normal splenic tissue separate from the main mass of the spleen. Accessory spleens vary in size from a few millimeters to several centimeters, they occur most frequently near or at the splenic hilum. They are also quite common found in up to 16% of CTs of the abdomen and up to 30% of autopsies [1]. For the uninitiated the splenule may be mistaken for a tumorso it is important that the sonographer is aware of this variant. Splenunculi also occur post splenectomy, and may enlarge, although they usually retain a spherical shape. [2]


The most common location to find a splenule is by the splenic hilum however they have been documented in other parts of the body as close as the stomach and pancreas and as far as the scrotum. [3,4]


- 2. Mortelé K, Mortelé B, Silverman S. CT Features of the Accessory Spleen. AJR Am J Roentgenol. 2004;183(6):1653-7. doi:10.2214/ajr.183.6.01831653 – Pubmed
- The Liver and Spleen Lorenzo Mannell, David J. Lom and Orpheus Kolokythas Grainger & Allison’s Diagnostic Radiology, 23, 598-655
- Mortelé K, Mortelé B, Silverman S. CT Features of the Accessory Spleen. AJR Am J Roentgenol. 2004;183(6):1653-7. doi:10.2214/ajr.183.6.01831653 – Pubmed
- Gayer G, Zissin R, Apter S, Atar E, Portnoy O, Itzchak Y. CT Findings in Congenital Anomalies of the Spleen. Br J Radiol. 2001;74(884):767-72. doi:10.1259/bjr.74.884.740767 – Pubmed
