Intestinal malrotation due to the cessation of normal intestinal rotation in the fetus.
The gastrointestinal tract divides into the foregut, midgut, and hindgut.
- Foregut: esophagus, stomach, pancreas, and the duodenum
- Midgut: distal duodenum, jejunum, ileum, cecum, ascending colon, and proximal two-thirds of the transverse colon.
- Hindgut distal one-third of the transverse colon, descending colon, sigmoid colon, and the rectum.
The small and large intestines undergo rapid growth during weeks four and five of development. [1] It is theorized that the intestines outgrow the space in the abdominal cavity causing them to herniate into the umbilical cord and rotate 90 degrees eventually returning into the abdominal cavity. Note failure of the intestines to return to the abdomen results in omphalocele. (malrotation associated with omphalocele in 31 to 45% of cases)
Other conditions associated with malrotation are congenital diaphragmatic hernia (Up to 100 %) and congenital heart disease.
Malrotation and Midgut volvulus typically present in infancy and young children
AGE RANGE:
●Presentation by one month of age: 30 percent
●Presentation before one year of age: 58 percent
●Presentation before five years of age: 75 percent
CLINICAL PRESENTATION
The primary clinical findings in infants and young children with intestinal malrotation with obstruction and/or volvulus include
●Vomiting, typically bilious but can be nonbilious, especially in neonates and young infants
●Abdominal pain (most common symptom in older children; may be out of proportion to the examination)
●Hemodynamic instability from hypovolemia and/or septic shock
●Abdominal distension (not always present, especially in young infants)
●Abdominal tenderness (can be difficult to elicit, especially in infants and young children)
●Peritonitis (eg, rigid abdomen) indicating volvulus with perforation (rare)
●Hematochezia indicating bowel ischemia and possible necrosis due to volvulus (rare)
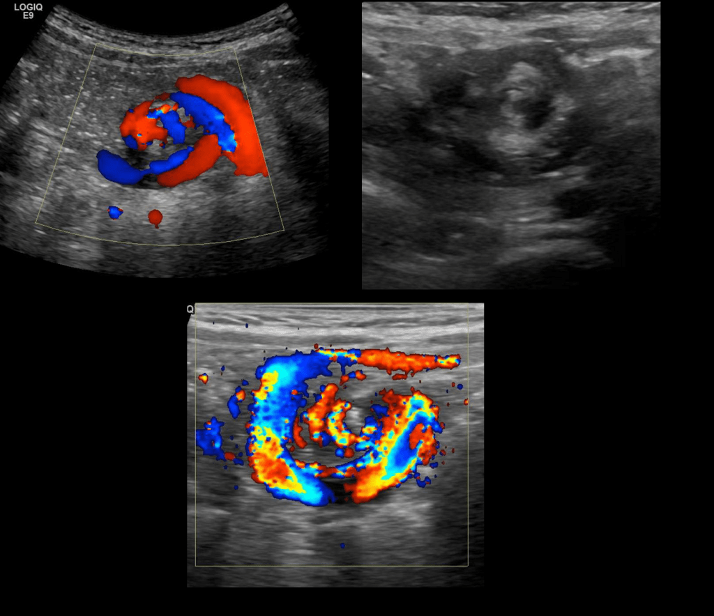
ULTRASOUND FNDINGS

- clockwise whirlpool sign
- abnormal superior mesenteric vessels
- inverted SMA/SMV relationship
- solitary hyperdynamic pulsating SMA
- truncated SMA
- inapparent SMV
- abnormal bowel
- dilated duodenum proximal to the obstruction
- thickened wall of small bowel distal to the obstruction
- dilated fluid-filled loops of small bowel
- free intra-abdominal fluid

IDENTIFYING THE SMA SMV RELATIONSHIP
