Nephrolithiasis typically refers to stones in the Kidney though in this article we’ll cover all stones in the urinary tract.
It is a common condition that affects 1 in 10 people in the US.

Symptoms
- Flank pain that radiates anteroinferiorly, can be mild up to very severe
- Hematuria (microscopic or macroscopic)
- Nausea and Vomiting
- Infections in recurrent or chronic cases

Renal stones are typically caused by over saturation of urine with stone causing compounds like calcium phosphate, calcium oxalate and uric acid. Patients with poor hydration can lead to the build up of these compounds into a sediment which then turns into stones.
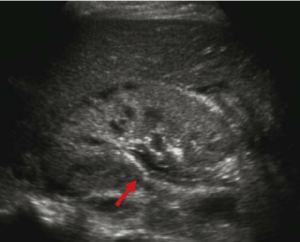
Sonographic findings
Typically you’ll see an echogenic/hyperechoic round or irregular shaped structure
usually has posterior shadowing and may display “twinkle” artifact which is a color doppler mosaic posterior to the stone (though some studies question the reliability of this technique).
Hydronephrosis can also be seen in cases of ureteral obstruction. Occasionally urothelial thickening can also be seen in cases of inflammation of the pelvocalyceal and ureteral lining and You may also see a lack of ureteral jets in cases of obstruction.

Stones may pass through the renal pelvis into the ureter. If they are big enough they can continue their journey through the urinary tract and be painfully expelled via urination.
Though if to big an obstruction may occur.
Stones may also form in the bladder sometimes becoming quite large requiring surgical extraction.
Reference:

Minerals and salts which are available in our pee once in a while stick together in a few people and afterward form into little kidney stones.
LikeLike