Intussusception
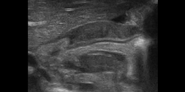
An intussusception is a medical condition in which a part of the intestine goes into another, typically the Ileum into the Ascending colon causing a intestinal obstruction. An easy way to visualize the mechanism is to imagine when you collapse a telescope, that is essentially what happens to the intestines. Imaging Bowel-within-bowel appearance: Alternating layers… Read More Intussusception










