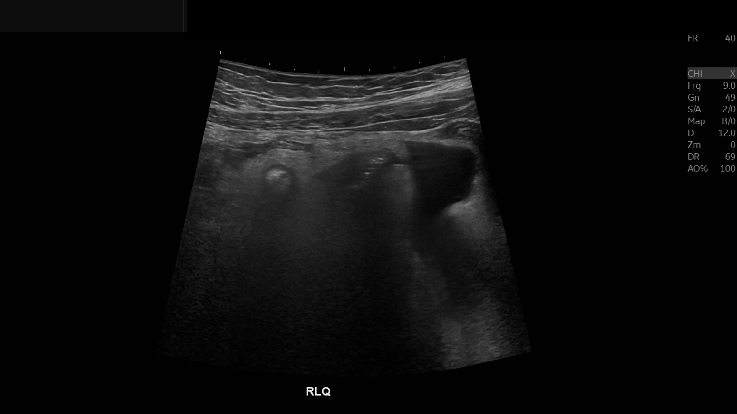
In this post I’ll just add appendicitis cases until humans evolve the ability to develop the organ!
My appendix playlist on YouTube.

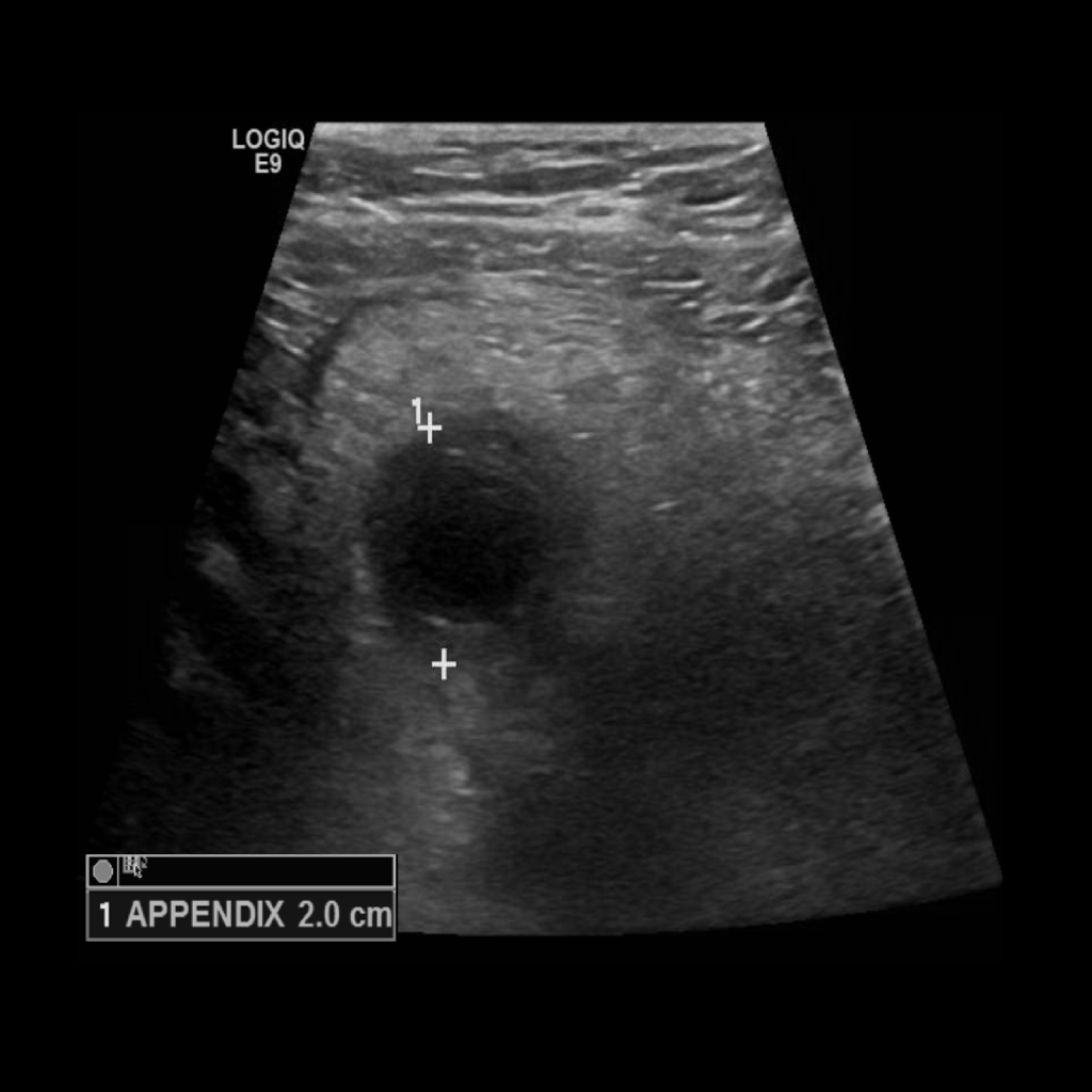
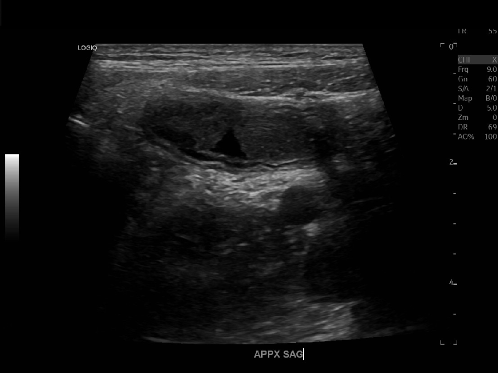
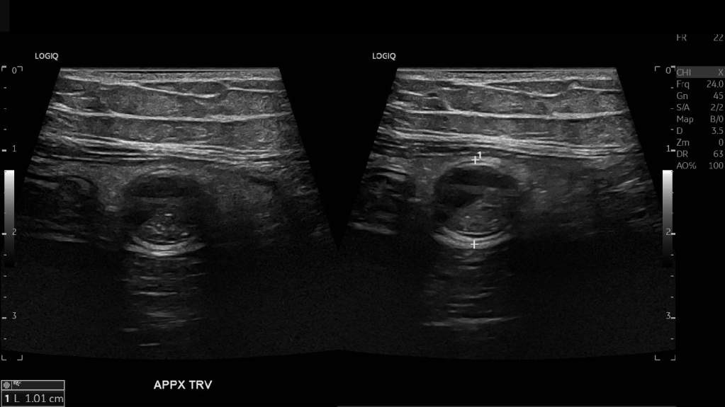
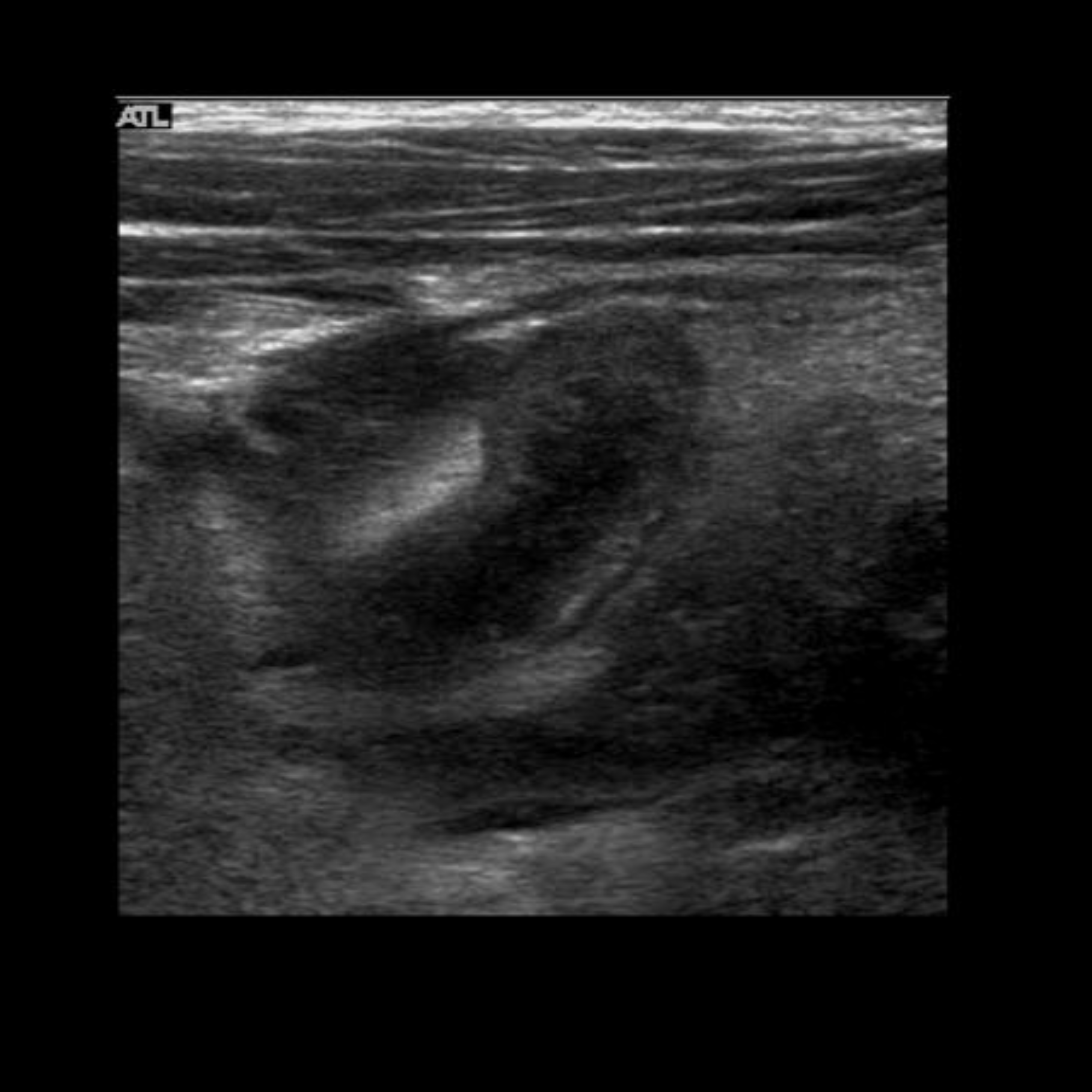
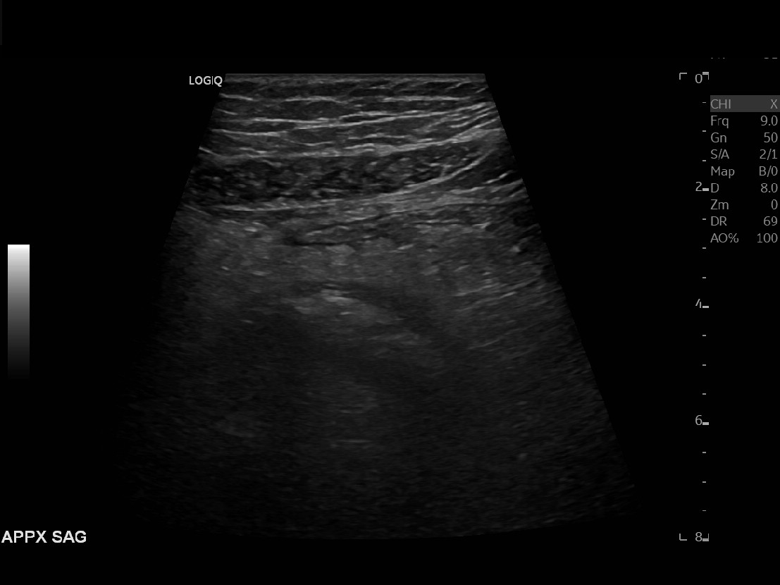
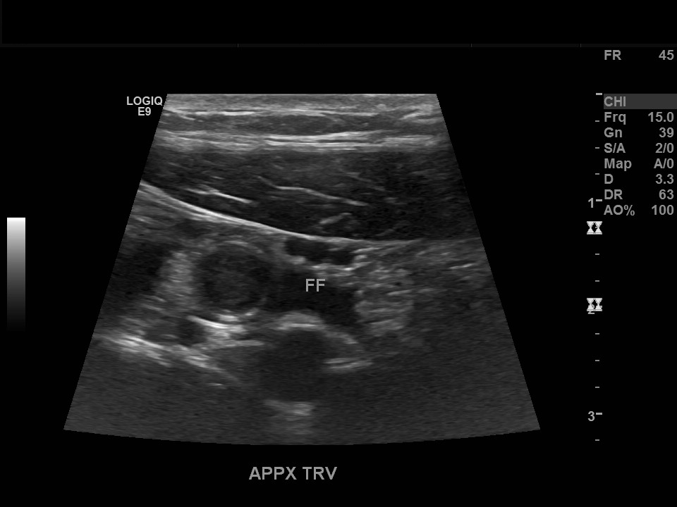
Appendicitis 1
2 cm appendix in an obese patient. Used the curvilinear probe to get better penetration.





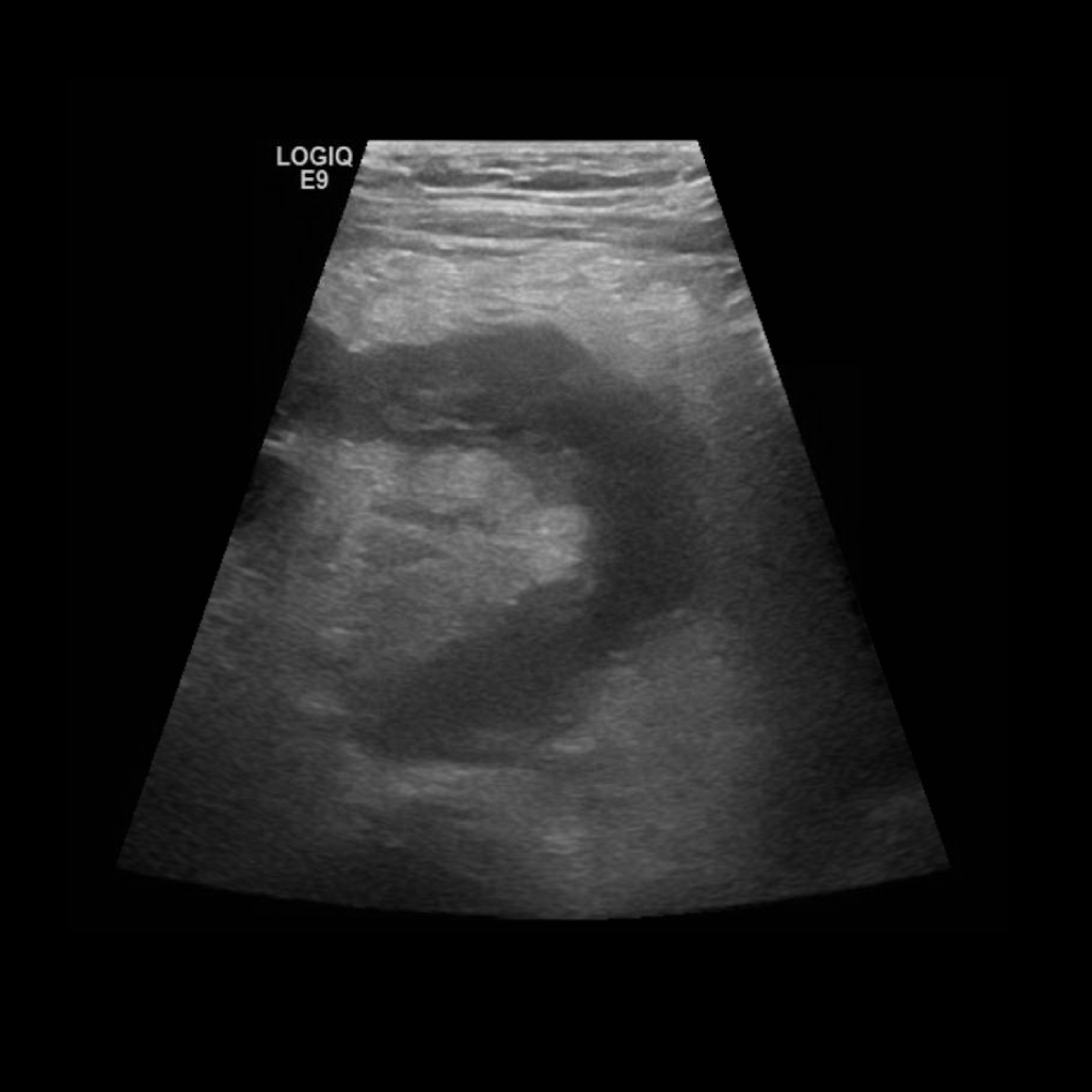
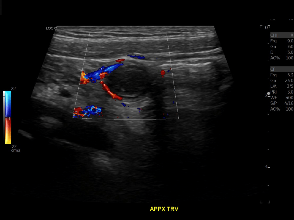
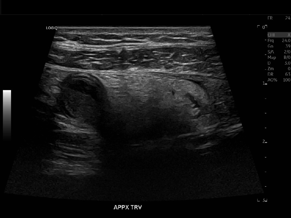
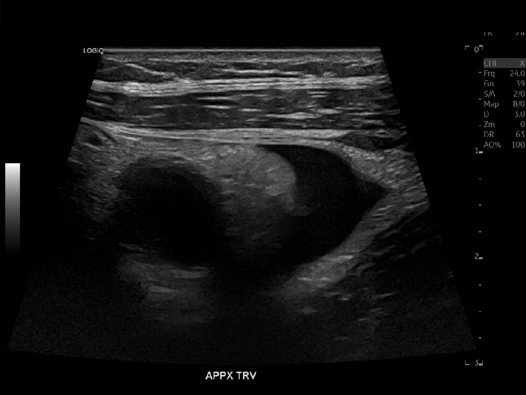
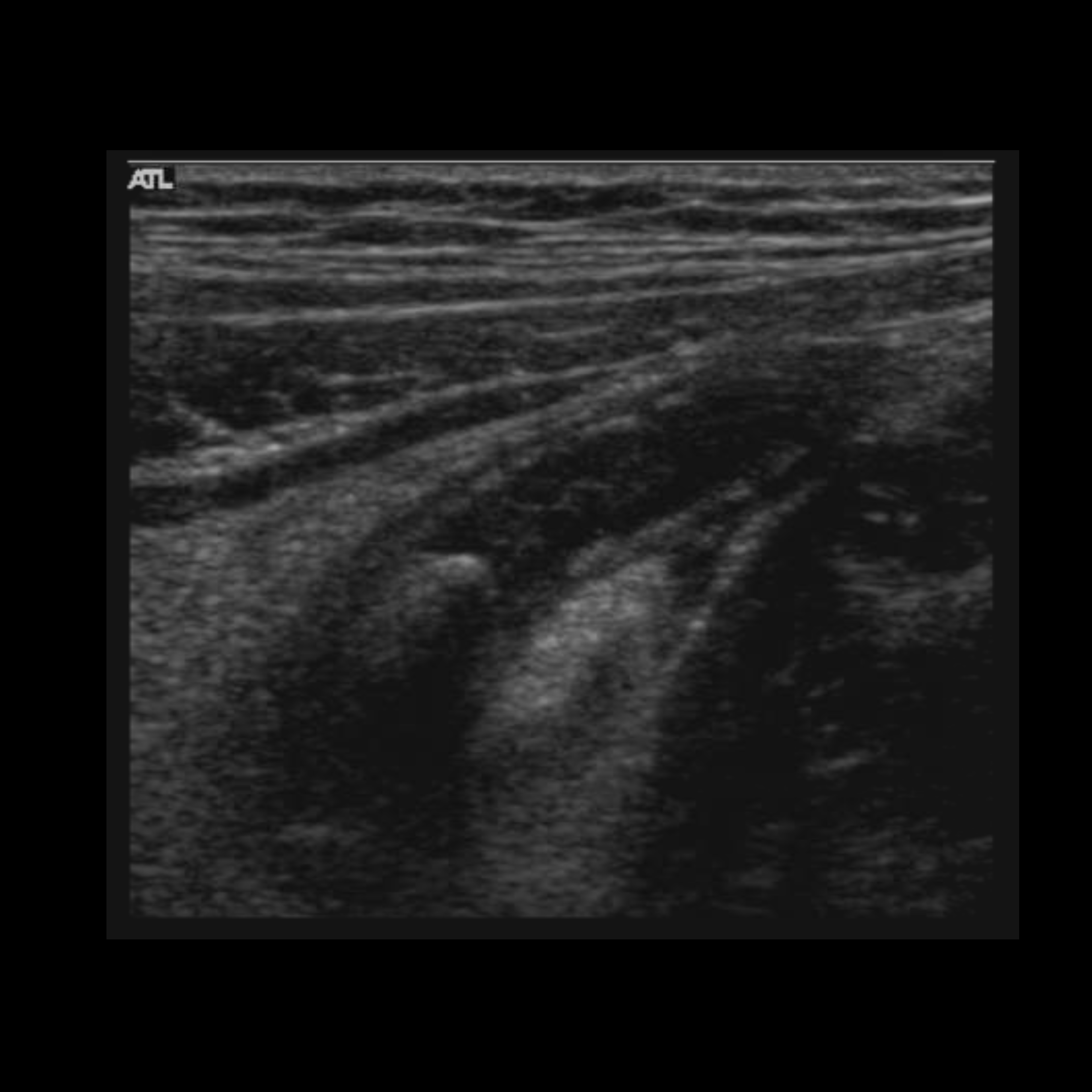
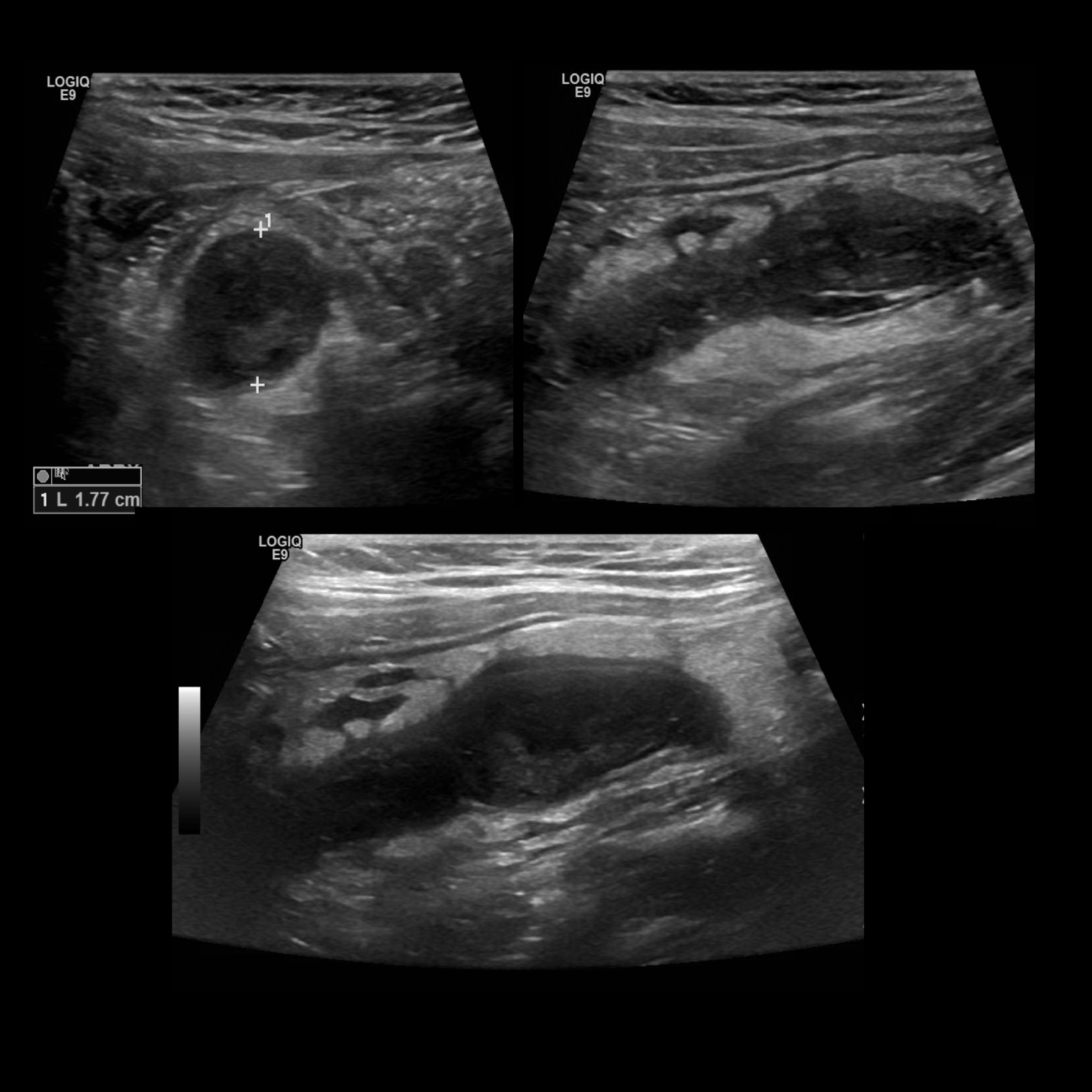
Appendicitis 2
Large appendix with appendicolith and hyperemia.





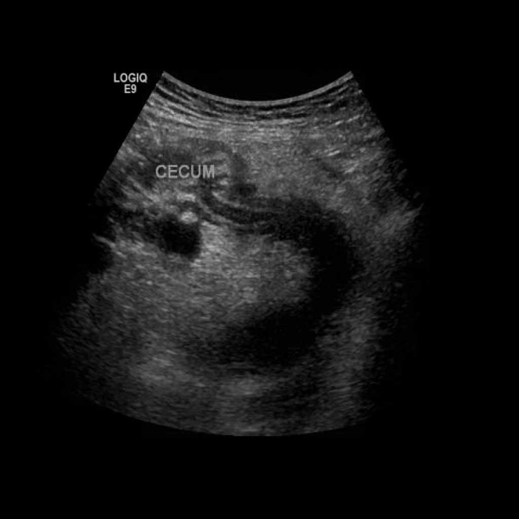
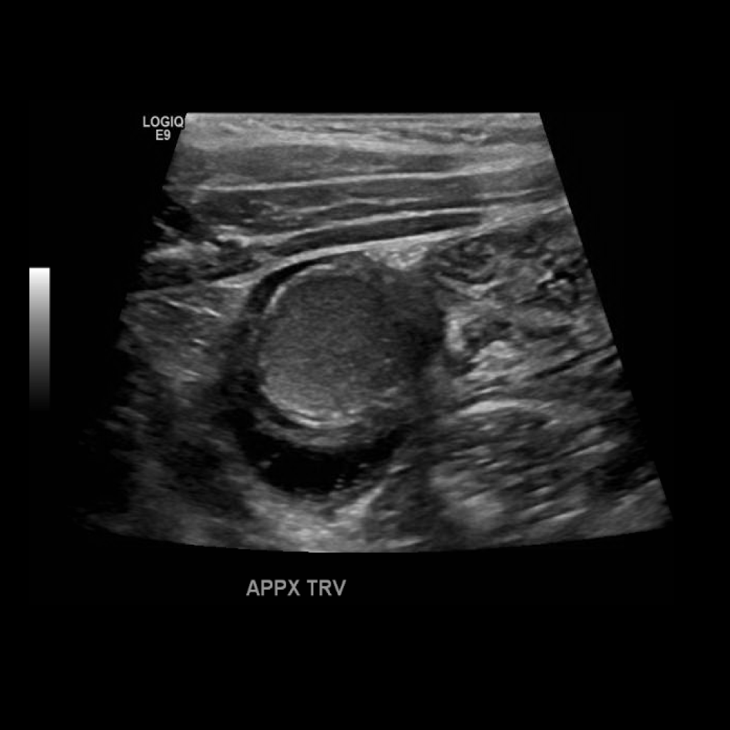
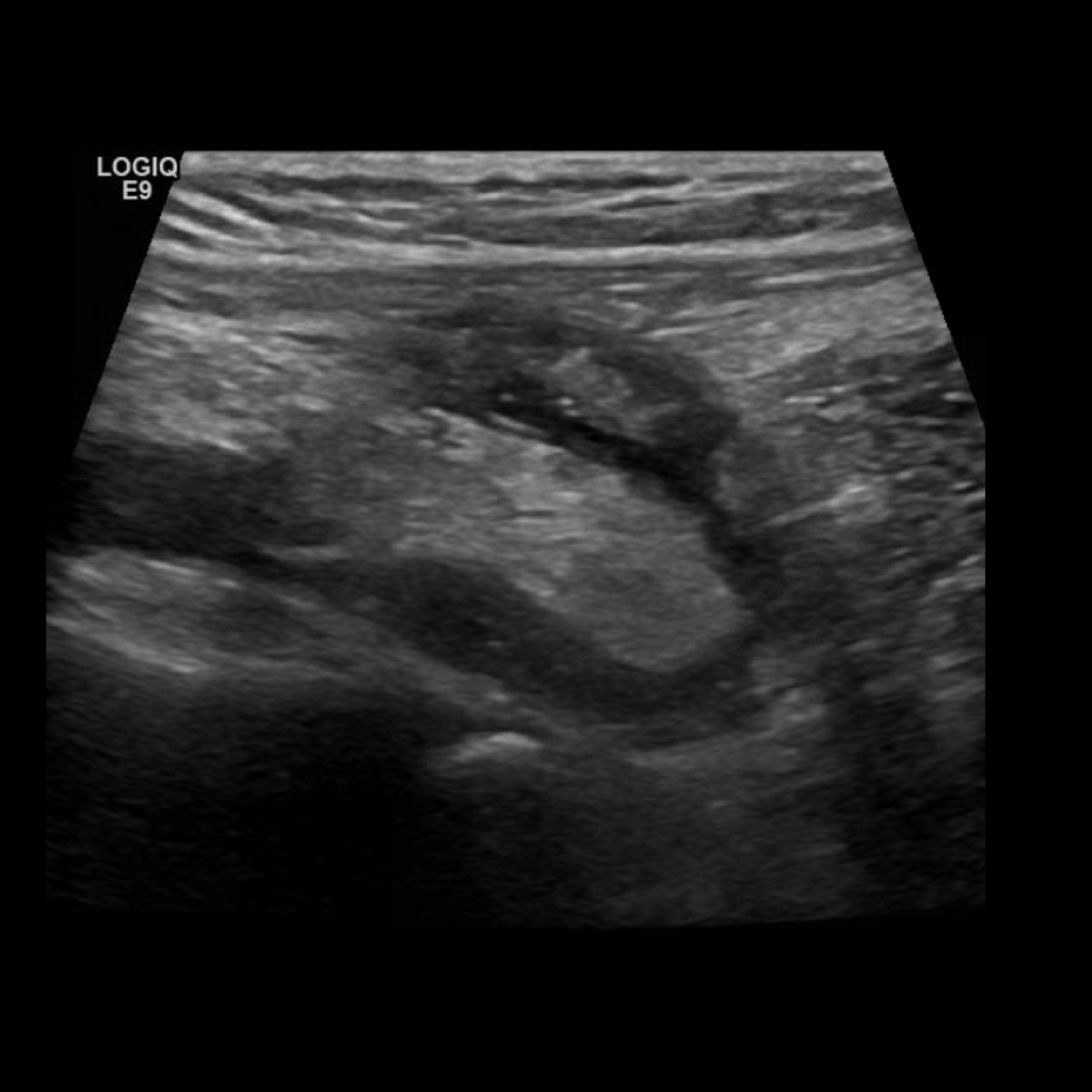
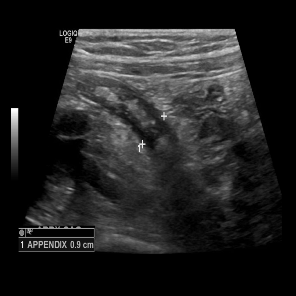
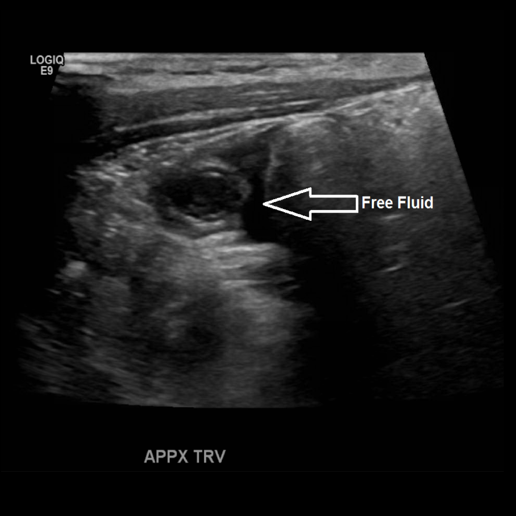
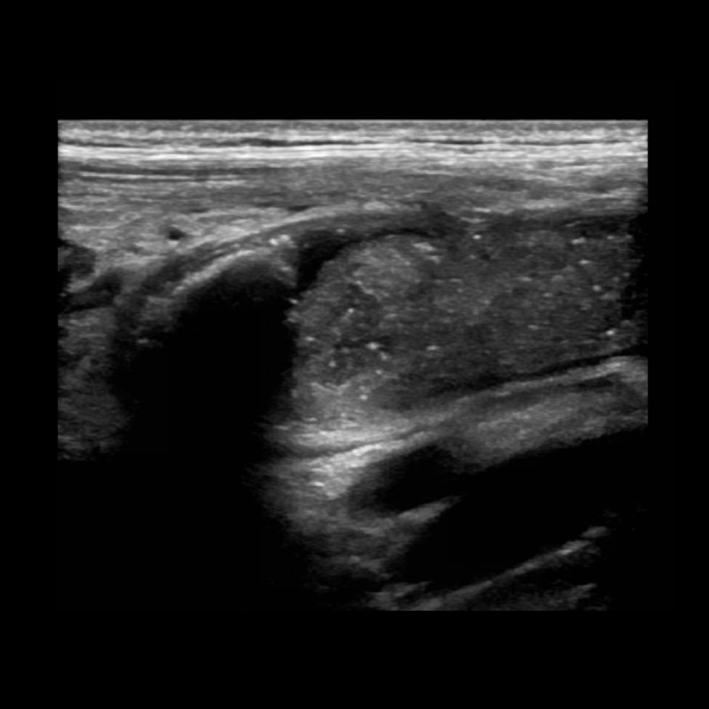
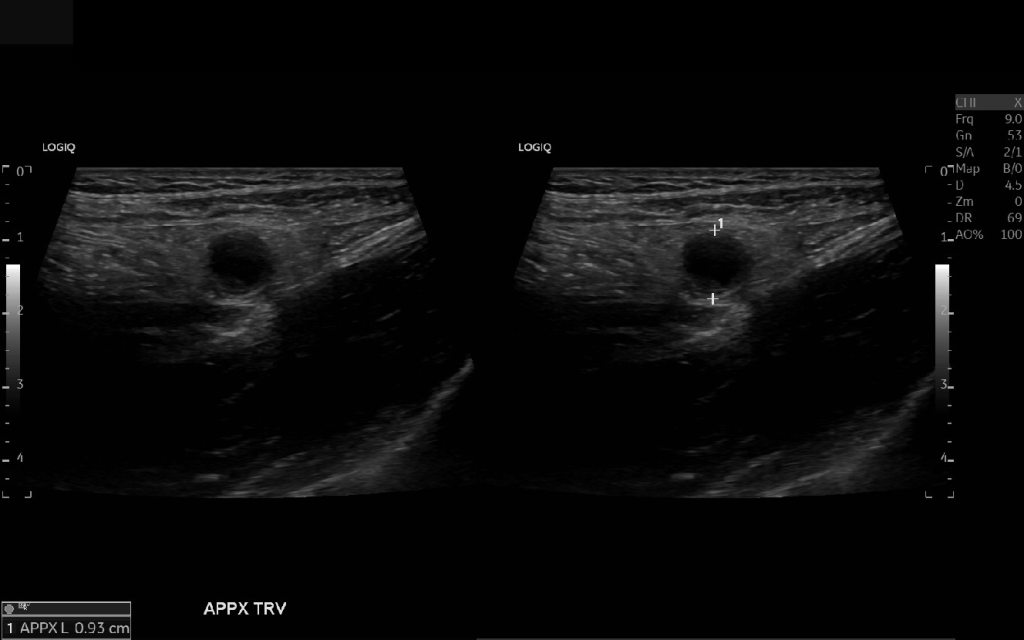
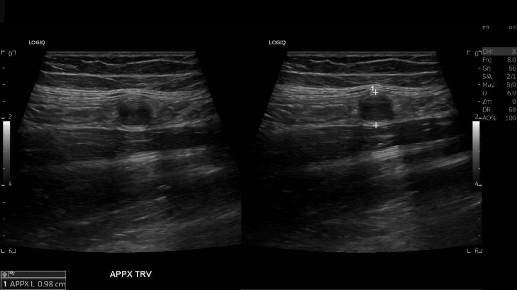
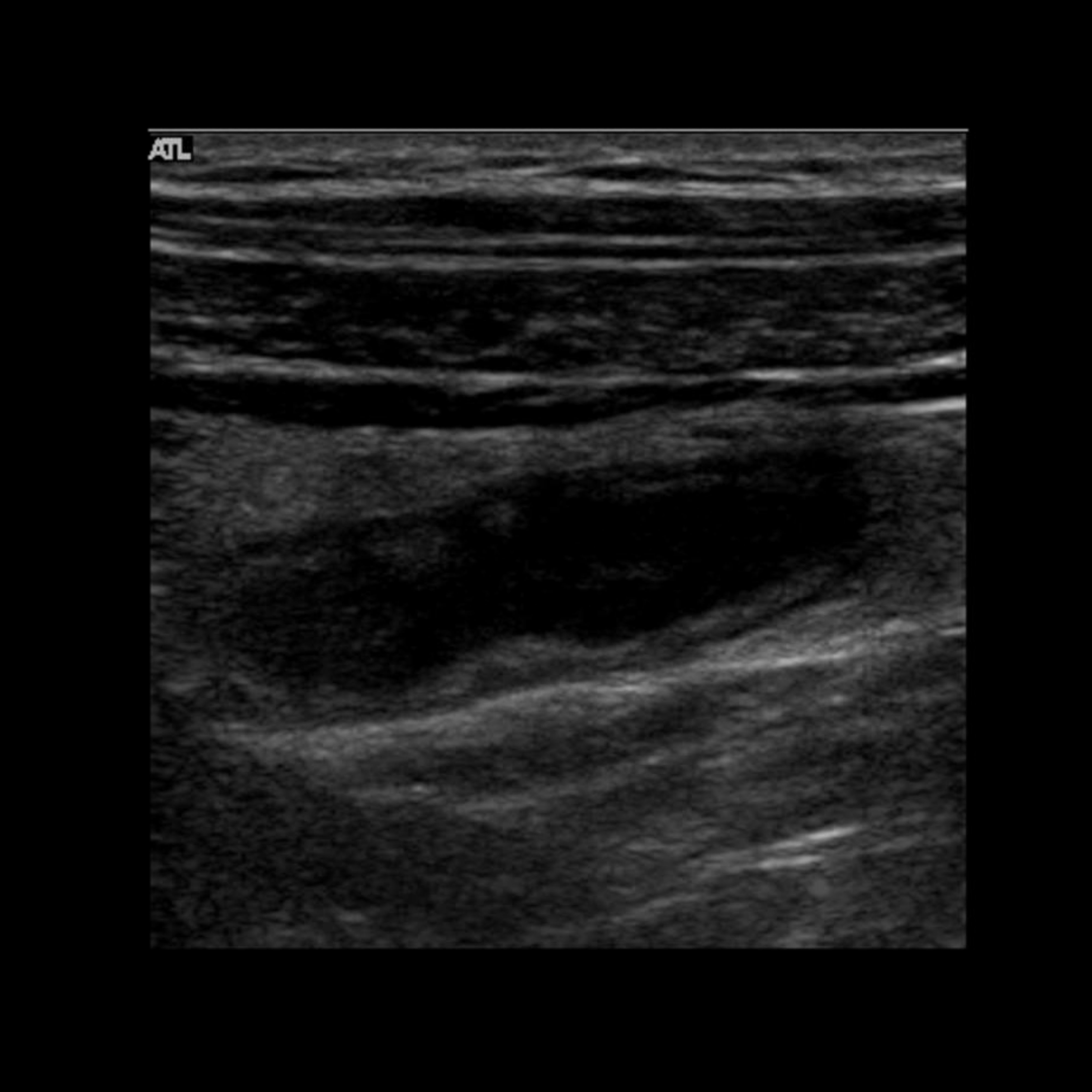
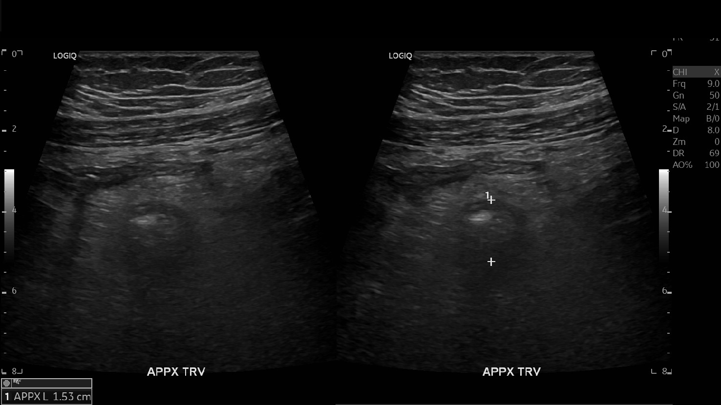
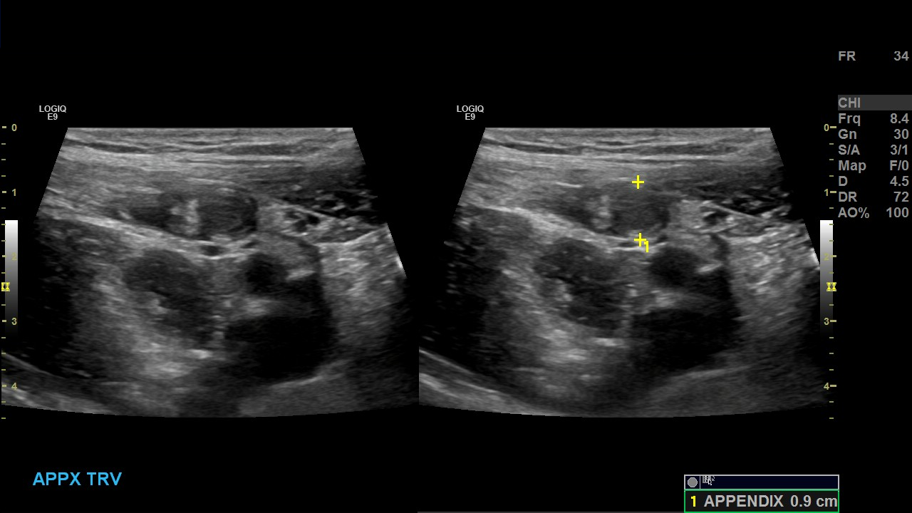
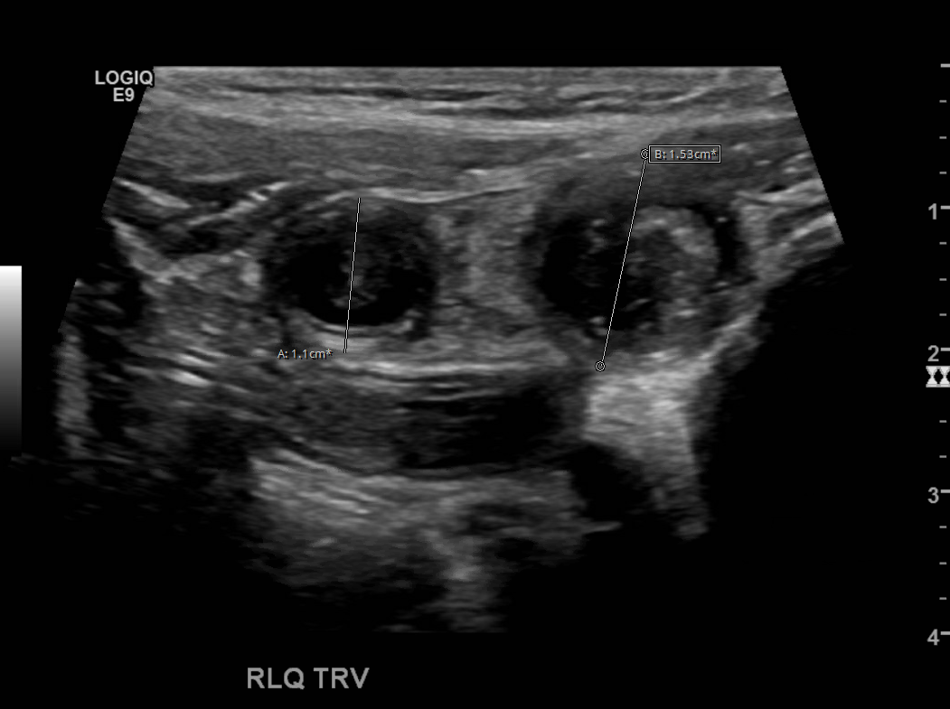
Appendicitis 3
0.9 cm appendicitis curled on itself with, fat stranding trace free fluid.



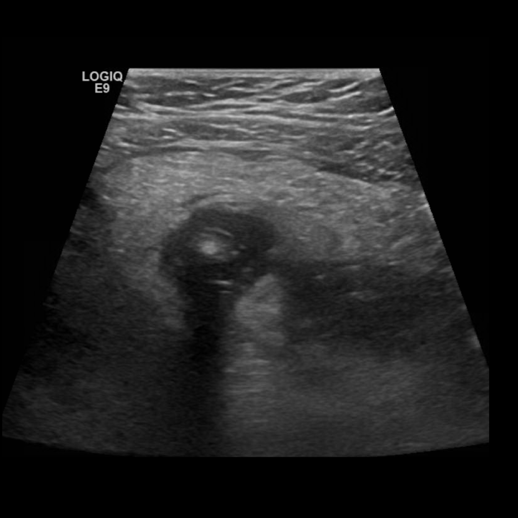
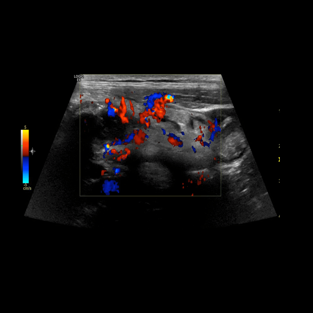
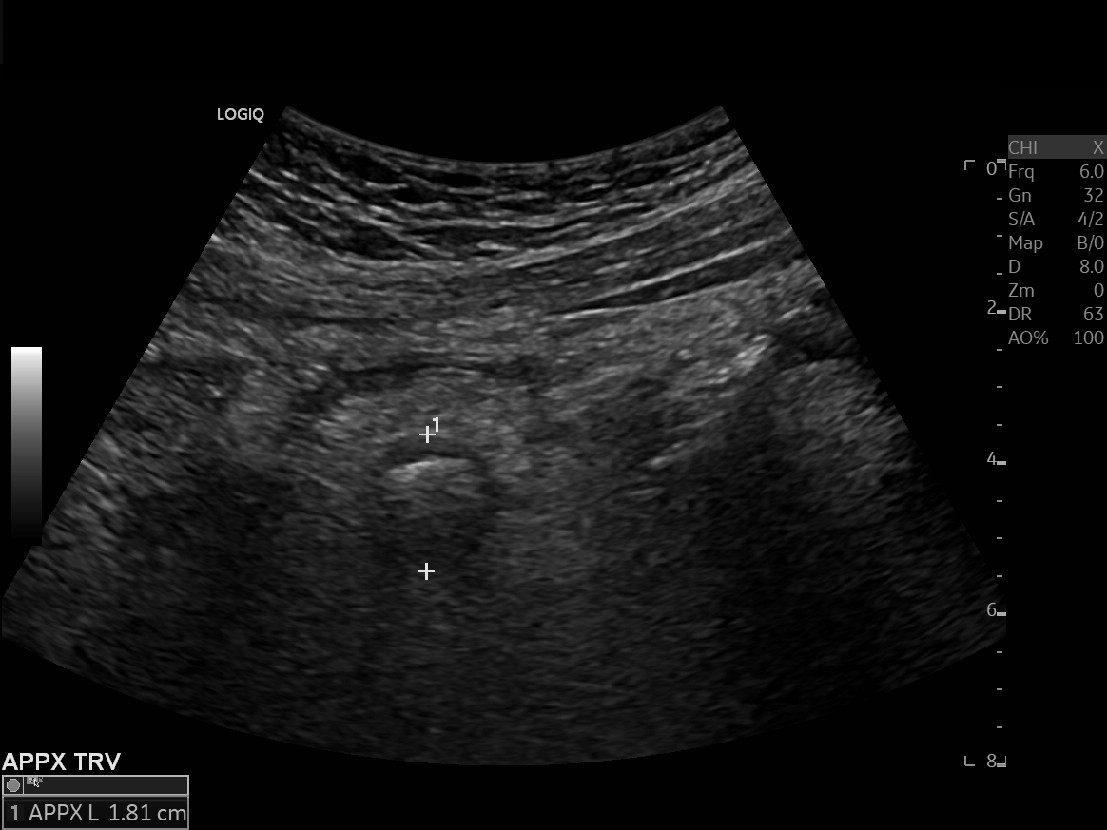
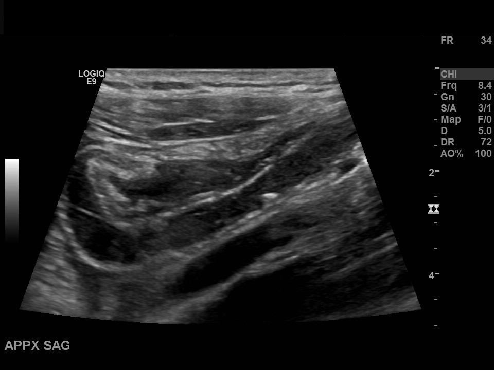
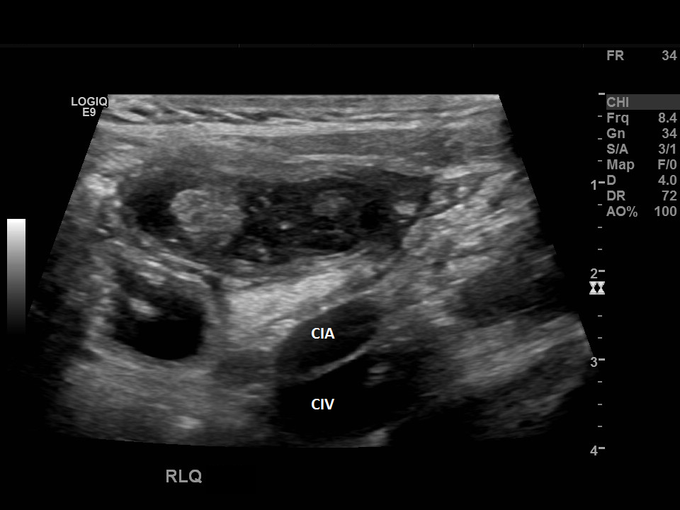
Appendicitis 4
1 cm appendicitis with hyperemia and appendicolith

Appendicitis 5
1.5 cm appendicitis with hyperemia.



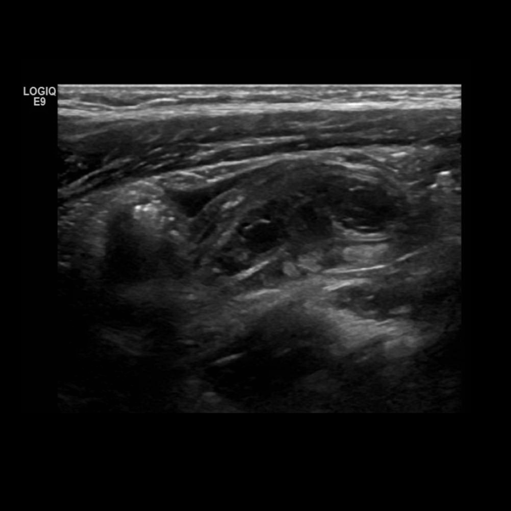
Appendicitis 6
Perforated appendicitis with complex fluid/abscess formation.



Appendicitis 7
Appendicitis found with hyperemia, free fluid and mural gas found to be perforated on surgery.





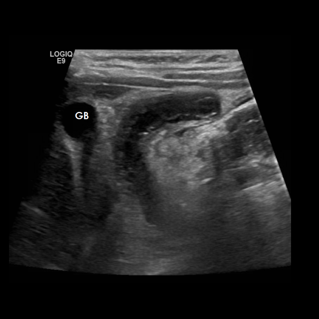
Appendicitis 8
Ruptured appendicitis with appendicolith, retrovesical and Morrison’s pouch free fluid





Appendicitis 9
Perforated appendicitis with complex collection/abscess formation, fat stranding and appendiolith.





Appendicitis 9
Hyperemic appendix with loss of gut signature and free fluid, perforated appendicitis.



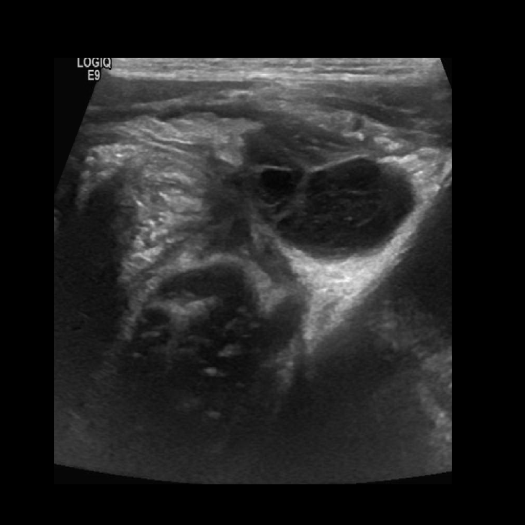
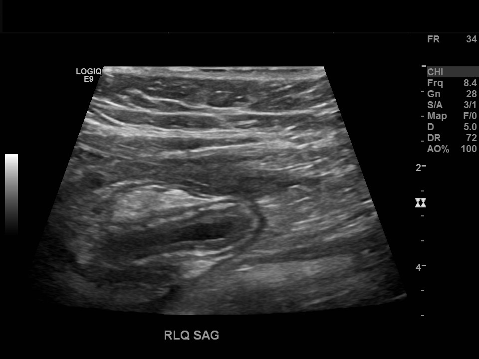
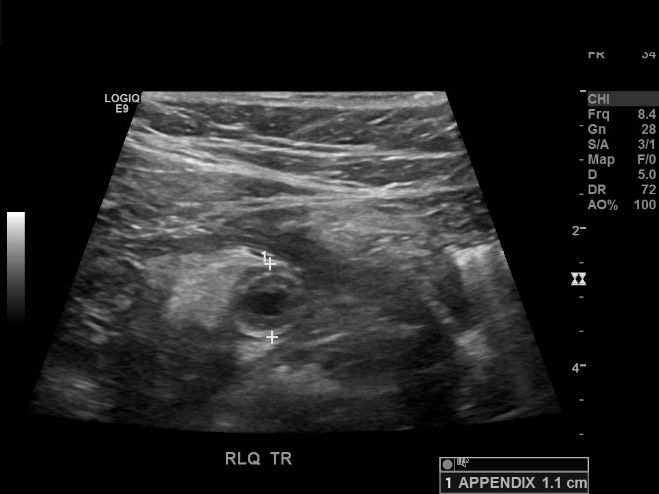
Appendicitis 10
1 cm Appendicitis located subhepatically.




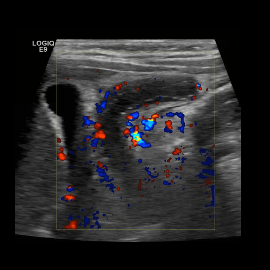
Appendicitis 11
Acute appendicitis with hyperemia and fat stranding.

Appendicitis 12
0.9 cm positive appendicitis, with peripheral free fluid, and fat stranding.





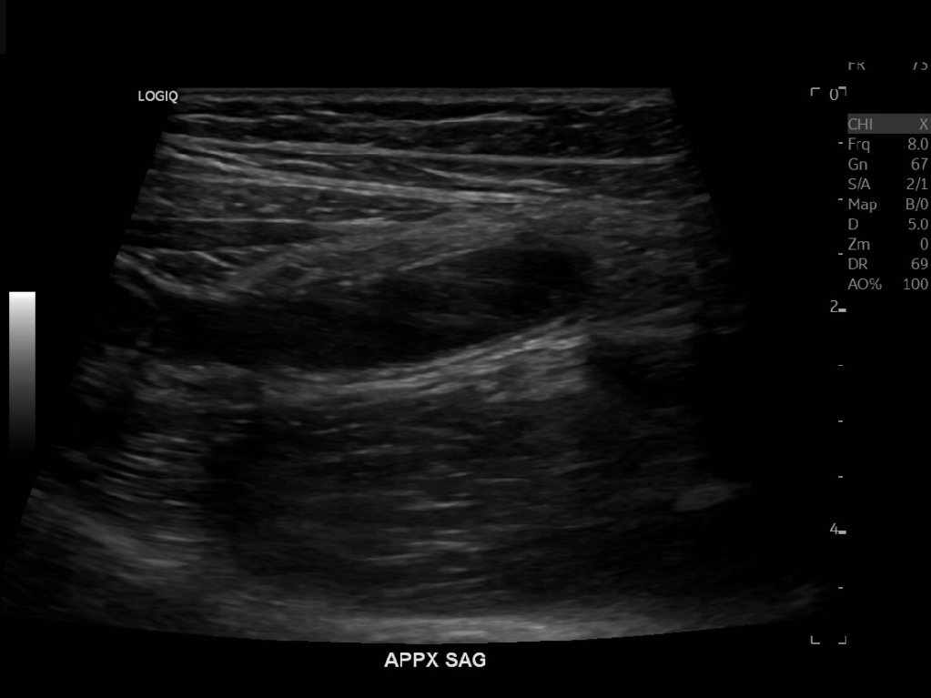
Appendicitis 13
Acute appendicitis @ 1 cm with L2-9mhz and L6-24mhz transducer GE Logiq e10.





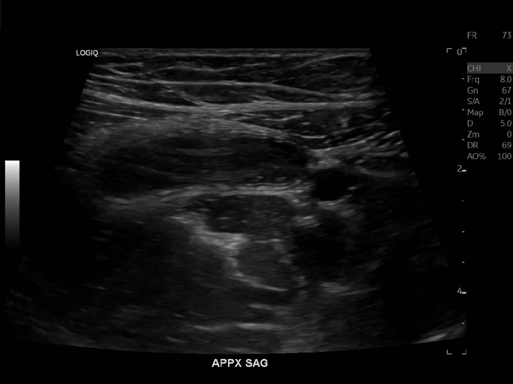
Appendicitis 14
Large appendicitis with appendicolith, hyperemia, fat standing and lympadenitis.






Appendicitis 15



Appendicitis 16
Hyperemia, echogenic fat and appendicolith



Appendicitis 17
Difficult to image perforated appendicitis with fat stranding and free fluid




Appendicitis 18
Appendicitis with trace free fluid and non obstructive appendicollith.





Appendicitis 19
Perforate appendicitis measuring 1.8 cm with interval abscess formation on follow up ultrasound imaging.


Appendicitis 20
Large, hyperemic with appendicolith.



Appendicitis 21



This was soo helpful, ty!!!
LikeLiked by 1 person
Woah! thanks a ton!
LikeLike