🎯 Ovarian torsion is the partial or complete rotation of the adnexa a on its vascular pedicle. It involves the right adnexa a more often (66% of the time).
🎯 Venous blood is the first to be affected followed by arterial flow.
🎯 The torsion is often secondary to a cyst or mass.
🎯 Patients usually present with severe unilateral pelvic pain, nausea and vomiting are also common
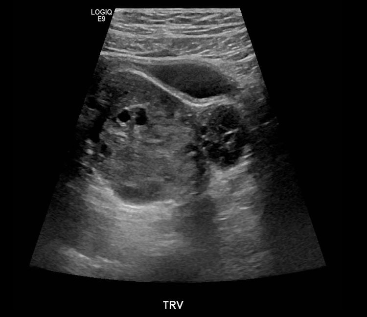
Ultrasound usually shows an enlarged ovary with peripherally displaced follicles, free fluid is often present, no Doppler flow is also often seen (early torsion can still have arterial flow, with venous and lymphatic drainage absent, also the ovary may spontaneously detorse).

It is usually a unilateral process, 60% on occur in right ovary.
Presentation
- Sudden onset of unilateral lower abdominal pain
- Lower back pain
- Severe lower abdominal pain
- Nausea and vomiting present in 70% of cases
- Ovarian salvage rate
- 10%in adults
- 27%in pediatrics
Sonographic findings
- Unilaterally enlarged ovary
- Peripherally displaced follicles due to edema
- Coexistent mass
- Twisted pedicle (not always seen)
- Free fluid

Doppler
- little or no intra-ovarian venous flow
- absent arterial flow (poor prognostic sign)
- absent or reversed diastolic flow
- normal vascularity does not exclude intermittent torsion
- normal Doppler flow can also occasionally be found due to dual supply from both the ovarian and uterine arteries (ovarian artery and a branch from the uterine artery respectively)
Ovarian torsion
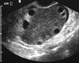
Case #1
Left ovarian torsion with laparoscopic image


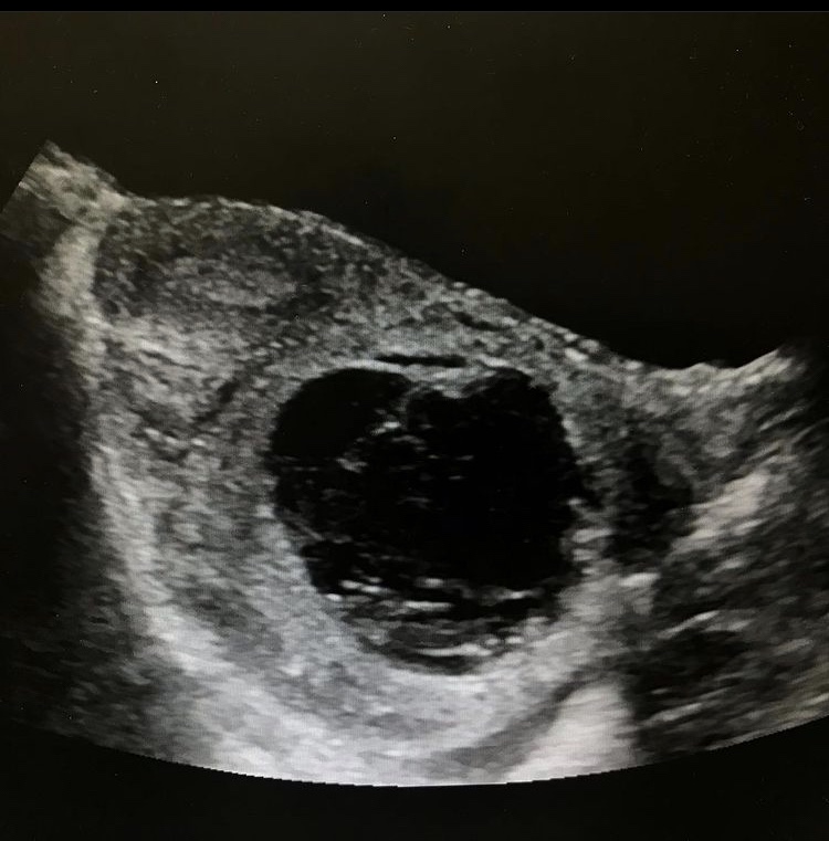
Case #2
1 yo female with right ovarian torsion


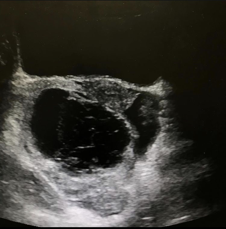
Case #3
Right ovarian torsion caused by hemorrhagic cyst





