Neuroblastoma is the most common extracranial malignant neoplasm in infants and children.
It accounts for eight to 10% of all childhood cancers and 15% of cancer related death.
The median agent diagnosis is usually 22 months with 30 % of cases being discovered in the first year of life.
The tumors arise from the neural crest cells of the sympathetic nervous system.

The most commonly occur in the abdomen (65%) followed by the chest, neck and pelvis.
Ultrasound appearance
On ultrasound you may encounter a round or ovoid mass with mixed echogenicity often time does the punctate echogenic foci representing classifications.
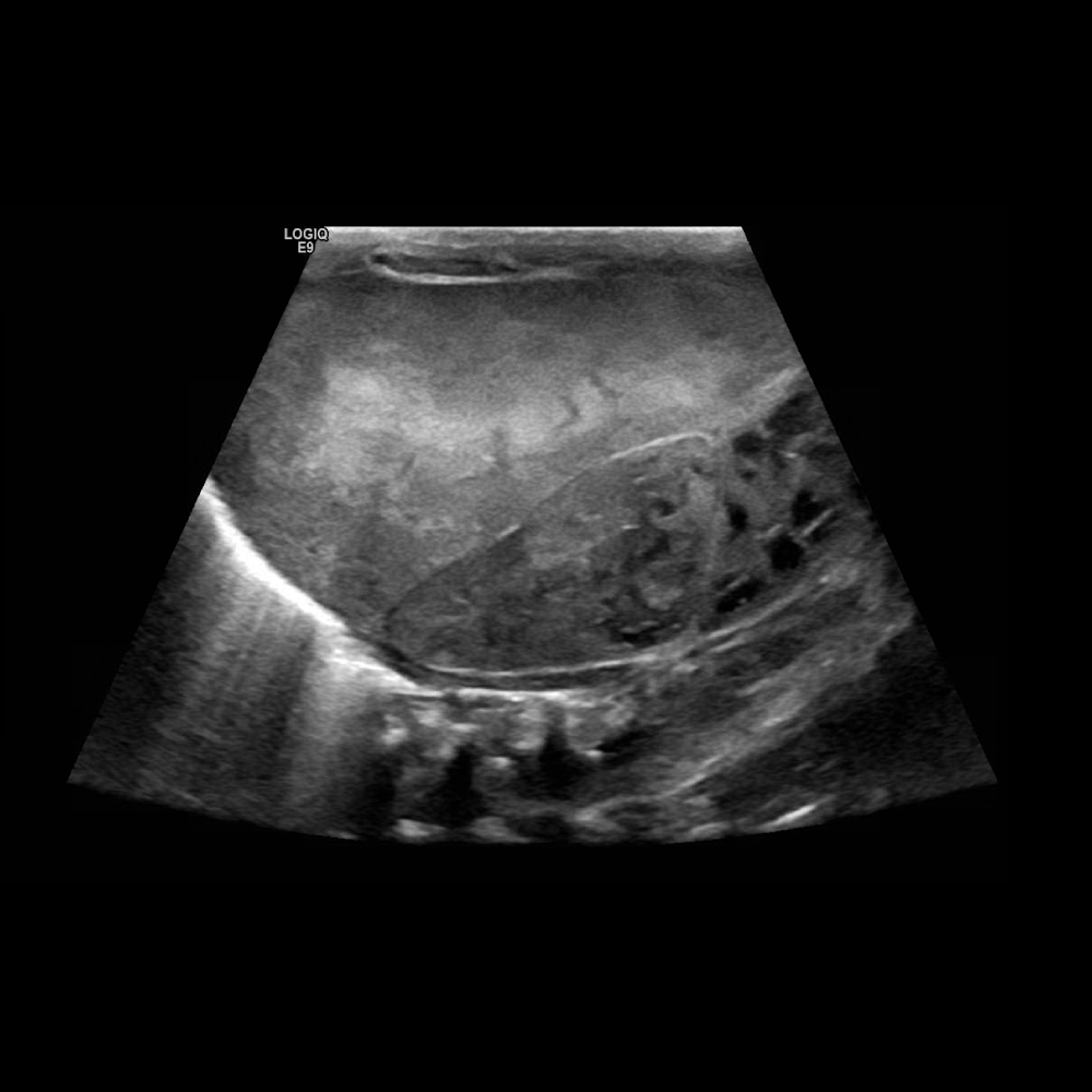
Right adrenal Neuroblastoma with metastasis to the liver.
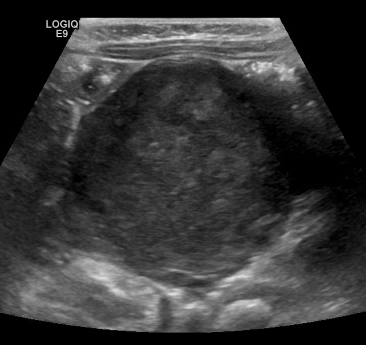
Retroperitoneal Neuroblastoma
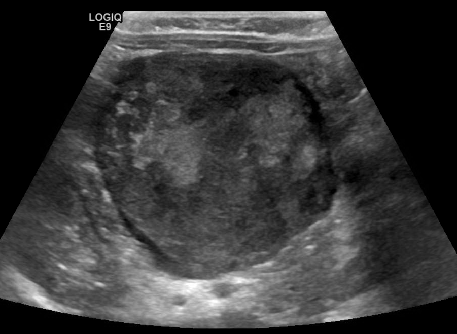
Retroperitoneal Neuroblastoma causing biliary obstruction.
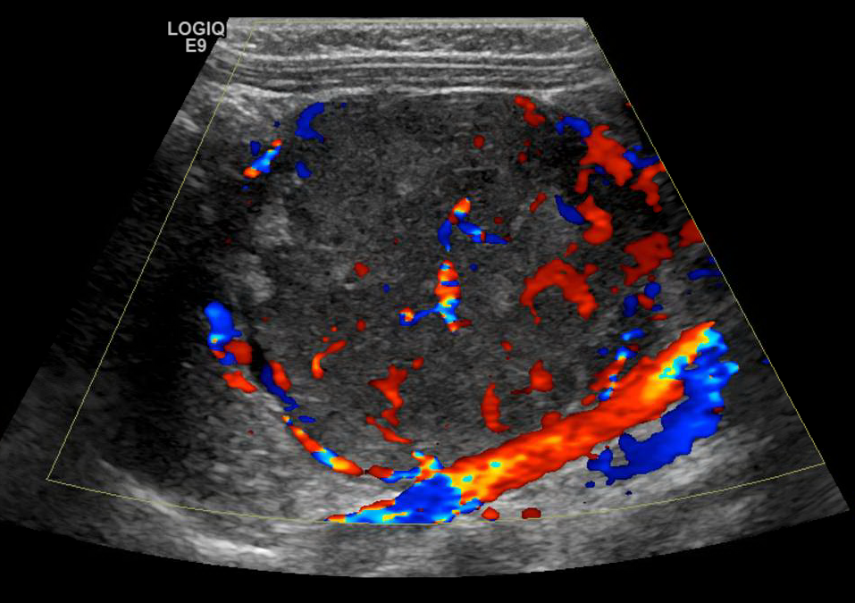
Neuroblastoma encasing the Aorta, SMA and Celiac artery
Sources:
Townsend, C. M., Beauchamp, R. D., Evers, B. M., Mattox, K. L., & Sabiston, D. C. (2022). Sabiston textbook of surgery: The biological basis of modern surgical practice. St. Louis, MO: Elsevier.








