Fetal heart studies for the General OB sonographer.
For me, the fetal heart always felt overwhelming. To learn the fetal heart it takes time, patience, practice, and study. As you learn and become familiar with normal anatomy, the abnormal will stand out faster and quicker to you. It is easier to start learning heart views when you have a baby in a good position with normal anatomically.
According to the Practice Parameters of AIUM:
A general OB exam (76805) should contain these views of the heart:
- Four Chamber Heart (4CH)
- LVOT
- RVOT
- 3VV- if technically feasible
- 3VT- if technically feasible
For a Detailed exam at a MFM office (76811) the above views and in addition:
- Situs
- Aortic Arch
- Ductal Arch
- Septum
- 3VV
- 3VT
So in a general Obstetrical office setting or an outpatient imaging center you are only required to do 4CH and outflow tracts. Your heart exam is still considered “normal” if you cannot visualize the 3VV or 3VT. However, as you learn to watch the heart and adapt the 3VV and 3VT view into your protocols you will be able to visualize more congenital heart defects.
Let’s get started!
When I start my heart exam I start by thinking globally. By starting globally I start on the outside or the larger parts of the fetal heart/chest/thorax and work my way into the smaller, more intricate parts. I’m going to describe this exam as if the heart is in an apical position. As that is my preferred position to evaluate the fetal heart.
1st: SITUS
I know this is not technically listed as part of the AIUM practice parameters for general OB but situs should be included on every anatomy ultrasound and it could be your first indication of a congenital heart defect (CHD). Learning situs can be tricky but use whatever tips and tricks you can to understand how to evaluate this. The heart should always be shown on the same side as the stomach. This is best shown in a split screen format with the position of the baby properly labeled.
2nd: 4CH
This should be obtained in an apical or subcostal view. I take a few minutes here and just watch the heart. While I’m watching I’m asking myself: Are there 4 chambers? Are the ventricles the same size? Are the atrium the same size? Do I see the Aorta behind the left atrium? Do I see a moderator band in the right ventricle? Are the tricuspid and mitral valves opening and closing in sync? Does the heart have a normal rhythm? Does it take up approximately ⅓ of the chest? Is it angled in the chest properly? Look at how much information you can get from this one view!


3rd: LVOT
As you focus on the left ventricle, you should see that the left ventricle is smooth walled. The LVOT comes off the left ventricle and points towards the fetal right shoulder. As you follow the LVOT off the left ventricle angle your transducer towards the fetal right shoulder to elongate the LVOT. You should see the mitral valve and the Aortic valve as you evaluate the LVOT.


4th: RVOT
As you focus on the right ventricle it should be obvious by the moderator band. The Right ventricle is also the most anterior portion of the heart. The RVOT comes off of the right ventricle and points towards the fetal left shoulder. As you follow the RVOT, angle your transducer towards the fetal left shoulder. You should see the tricuspid valve and the Pulmonary valve. The RVOT should then bifurcate into the Ductus Arteriosus and the Right Pulmonary artery.


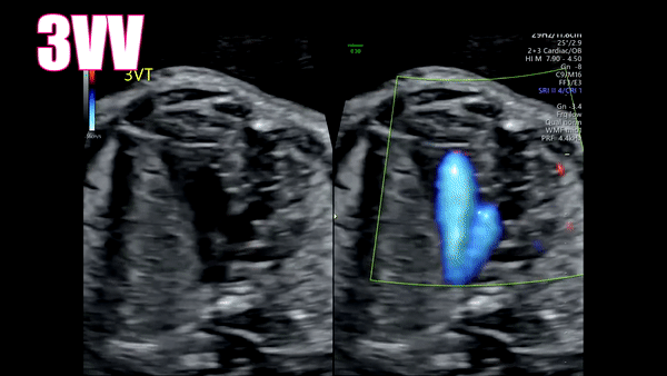
5th: 3VV
As you move out of your 4CH view caudally and into the outflow tracts the next part of the fetal heart should be the 3 vessel view (3VV). The 3VV consists of the Pulmonary, Aorta, and Superior Vena Cava (SVC). Think P-A-S. They should be properly sized. The Pulmonary should always be your larger vessel. The Aorta should be in the middle and mid sized. Your SVC should be the smallest of the 3 arteries. Remember PAS for quick reference.


6th: 3VT
As you continue moving caudally the 3VV will naturally turn into the 3 vessel trachea view (3VT). The 3VV turns into the 3VT when the Ductus arteriosus portion of the Pulmonary artery and the Aorta merge together. When this merge happens a “V” shape is created. This is located to the left of the trachea. I sometimes find it easier to use my color Doppler in this setting as the Pulmonary and Aorta should be going the same direction so they should be the same color.

Author: Marybeth Tomory RDMS (ABD, OB, FE)
Illustrations and Editing Henry Suarez RDMS (ABD, OB), RVT

Awesome imaging! Do you provide training sessions?
LikeLike
Not yet! Maybe in the future??
LikeLike
It would be a big support for us if you start training. I am from Bangladesh.
LikeLike