
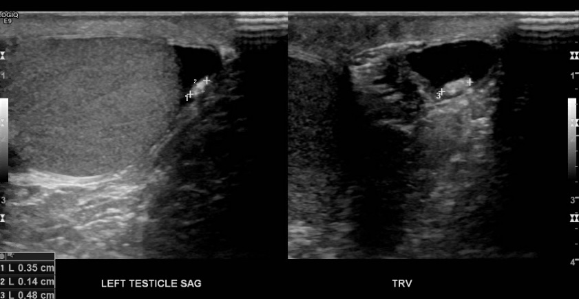
The appendix testis is a vestigial remnant of the Müllerian duct. It is a little nub of non functioning tissue that is normally located in the superior pole of the testicle. If this structure twists (torsion) it can lead to inflammation and pain. This process is most commonly seen in pediatrics especially prepubescent boys.

Clinically there will be pain, in some case epididymitis can develop. The normal appendage is not normally seen in routine scans, though it may reveal itself if there’s a hydrocele. There may also a “blue dot sign” which is a palpable, tender nodule that appears blue/purple under the skin on close inspection.



It is thought that once this tissue becomes necrotic it detaches from the tesis to be a freely moving object in the tunica vaginalis, it then undergoes calcification leading the o scrotal pearl (aka scrotolith).


This is condition is self limiting and does not require surgery. It is typically treated with rest and analgesics/anti-inflammatory medication.

Beautiful illustration of torsed appendix, does it mean that a lot of scrotal pearls that I see in adult patients is a result of above pathology
LikeLike
As far as I know that is the thought process, that these scrotal pearls were once torsed appendages.
LikeLike
Highly probable
LikeLike
As far as I know that is the thought process, that these scrotal pearls were once torsed appendages.
LikeLike