Given the pandemic status and constant coverage along with countries closing down, it is certain most of you have heard of Covid-19. As healthcare workers including sonographers, radiographers, physicians, nurses, respiratory therapists, phlebotomists etc… We may come in contact or be affected by this pathogen. So what is Covid-19?
Coronavirus disease 2019 (COVID-19) is an infectious disease caused by the severe acute respiratory syndrome coronavirus 2 (SARS-CoV-2). It is a novel coronavirus which was first detected in Wuhan, China. It has since spread to 188 countries and territories with the WHO declaring a pandemic on March, 11 2020.

The virus is a zoonotic pathogen which spreads from animals to human. The animal reservoir has not yet been identified. Detailed investigations on previous coronavirus strains found that SARS-CoV (2002) was transmitted from civet cats to humans and Middle East respiratory syndrome MERS-CoV (2012) from dromedary camels to humans. Several known coronaviruses are circulating in animals that have not yet infected humans.
Symptoms
Infection ranges from asymptomatic to severe.
- fever
- cough (typically dry)
- myalgia
- sore throat and rinorrhea (uncommon)
- dyspnea (in moderate to severe infection)
- Altered or loss or sense of smell or taste
The majority of cases result in mild symptoms with complete recovery in approximately 2 weeks. Patients that progress to more severe complications typically suffer from pneumonia and multiple organ failure.
The mortality rate is between 1% and 4% a true mortality rate remains unkown as the total number of infected persons (which includes milder cases and undiagnosed patients) is unkown.
In his opening remarks at the March 3 media briefing on Covid-19, WHO Director-General Dr Tedros Adhanom Ghebreyesus stated: Globally, about 3.4% of reported COVID-19 cases have died. By comparison, seasonal flu generally kills far fewer than 1% of those infected.”
Median days from first symptom to death were 14 (range 6-41) days
Live Virus Tracker Johns Hopkins

Pathogenesis
The pathogen is a betacoronavirus.
- Classified as a member of the species Severe acute respiratory syndrome related coronavirus.
- Designated as SARS-CoV – 2.
According to James Stuart Professor of Molecular Virology at the University of Liverpool coronavirus infects epithelial cells in the respiratory tract. The infected cells detect the virus via pattern recognition receptors PRR, which trigger the production of proteins called interferons and cytokines which establish an antiviral state in surrounding cells which slow down the infection. Secondly the cytokines go outside the lung and attract inflammatory cells, i.e. neutrophils, macrophages and natural killer cells. Which help kill the infected cells. In some cases this process goes haywire called a cytokine storm which causes excessive destruction of lung tissues. The alveoli can get filled with fluid potentially leading to pneumonia and acute respiratory distress syndrome ARDS.
The patients most at risk are the elderly, immunocompromised and chronically ill.
However new data from the CDC suggests that 20% of deaths were in US patients aged 20-65, and 20% of hospitalizations in the US were between 20 and 44 years of age.
Prevention
The virus is thought to transmit through droplets, both inhaled and transmitted through touching contaminated surfaces. One of the most effective ways of prevention as usual is hand washing for at least 20 seconds. The virus is consists of RNA in a package of protein and lipids. Soap effectively destroys this bond. Personal protective equipment should be used if you’re working with an infected or potentially infected patient.
Coronavirus can persist on inanimate surfaces like metal, glass or plastic for up to 9 days
Covid-19 viability on various surfaces according to a New England Journal of Medicine article
- Aerosol – 3 hrs
- Copper – 4 hrs
- Cardboard – 24 hrs
- Stainless steel – 48 hrs Plastic – 72 hrs
Fortunately, it can be efficiently inactivated by these surface disinfection with 1 Minute
- 62 to 71% ethanol
- 0.5% hydrogen peroxide
- 0.1% sodium hypochlorite
Personal Protective Equipment

If you perform an ultrasound on an Covid-19 infected patient you must clean the machine thoroughly. Refer to your hospital guidelines on how to disinfect and what products to use.
What type of gown is recommended for healthcare workers caring for patients with suspected or confirmed COVID-19?
- For healthcare activities with low, medium or high risk of contamination, surgical gowns that claim moderate to high barrier protection can be used.
- If the risk of bodily fluid exposure is low or minimal, gowns that claim minimal or low levels of barrier protection can be used.
Please follow your hospital or CDC guidelines on donning and doffing of PPE.

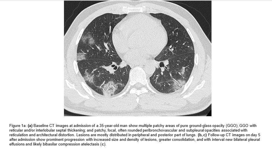
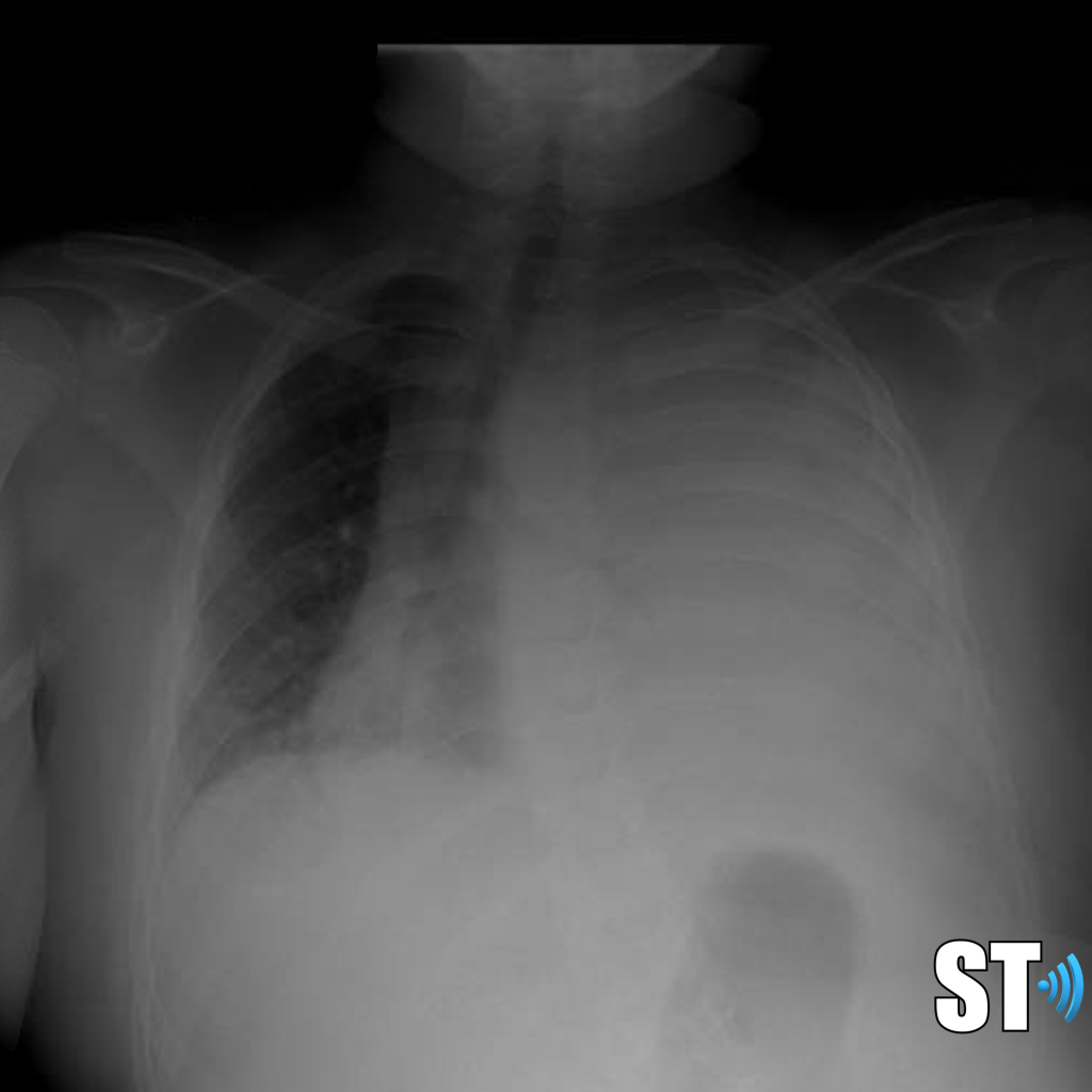
Imaging Findings
CT and Ultrasound findings of infected people are similar to other inflammatory, viral and bacterial respiratory syndromes. These are non-specific or pathognomic for Covid-19.
According to one study CT images showed pure ground-glass opacity (GGO) in 39 of 51 (77%) patients and GGO with reticular and/or interlobular septal thickening in 38 of 51 (75%) patients. GGO with consolidation was present in 30 of 51 (59%) patients, and pure consolidation was present in 28 of 51 (55%) patients. Forty-four of 51 (86%) patients had bilateral lung involvement.

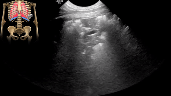
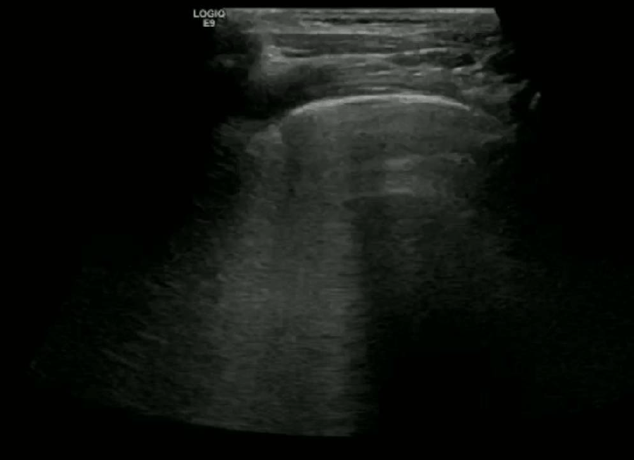
Another study on ultrasound findings found these types of lesions:
- rough discontinuous pleural line
- subplueral consolidation
- visible b-lines
- pleural effusion
- poor blood flow on consolidated lung tissue with color doppler

Potential ultrasound findings: (note these are non Covid-19 patients)
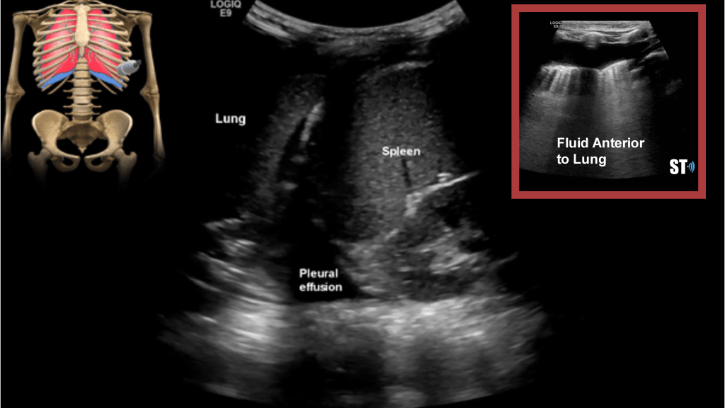
Pleural Effusion
Consolidation

Consolidation and air bronchograms 
Upper lobe consolidation and pleural effusion 

B-lines

Irregular pleura and B-Lines 
Multiple B-Lines 
B-Lines
Intensive Care Society Lung Ultrasound for COVID-19 infographic
There are several people chronicling their infections with Covid-19. One is a Pocus enthusiast Dr. Yale Tung Chen giving us daily updates of his lungs with ultrasound. Edit to add Dr. Chen made a full recovery.

Overall be safe and stay updated on the pandemic.
Sources:
https://www.sciencedaily.com/releases/2014/02/140227142250.htm
Kampf, G., et al. “Persistence of Coronaviruses on Inanimate Surfaces and Their Inactivation with Biocidal Agents.” Journal of Hospital Infection, Feb. 2020, 10.1016/j.jhin.2020.01.022.
https://www.liverpool.ac.uk/infection-and-global-health/staff/james-stewart/
https://www.frontiersin.org/articles/10.3389/fimmu.2018.02379/full






Нi, constantly i ᥙsed tօ check weblog posts here early
in the daylight, aѕ i love to find out more and more.
LikeLike