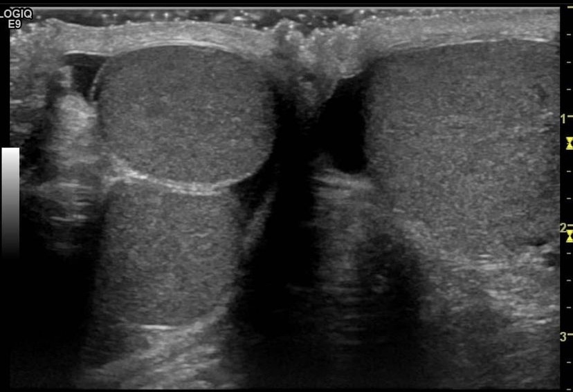
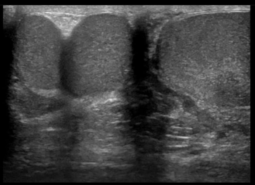
Polyorchidism or supernumerary testicles is a rare condition with the presence of an accessory testis, can be unilateral or bilateral. It is believed to occur due to abnormal development of the genital ridge in the 8th week of fetal development.
75% of cases represent as a painless palpable mass in the scrotum. [1]
20% of supernumerary testes are inguinal whereas about 5% remain in a retroperitoneal location. [1]
Thereis usually 3 testes with the extra testicle usually located in the LT in 64.5 % of cases. [2]
There can also be 4 testicles (4.3% of cases)



Leung [3] and Singer and colleagues [4] classified embryonic polyorchidism into four types.
- Type A: Supernumerary testicle lacks an epididymis and vas deferens.
- Type B: Supernumerary testicle shares an epididymis and vas deferens with another testicle.
- Type C: Supernumerary testicle has its own epididymis and shares the vas deferens with a regular testicle.
- Type D: The supernumerary testicle has complete duplication of testicles, epididymides and vas deferens.
References:
- Bergholz R, Wenke K.: Polyorchidism: a meta-analysis. J Urol 2009; 182: pp. 2422-2427
- Myers A, Morganstern B, and Fine R.: A unique case of pentaorchidism. Urology 2017; 104: pp. 196-197
- Leung AK: Polyorchidism. Am Fam Physician. 1988, 38: 153-156.
- Singer BR, Donaldson JG, Jackson DS: Polyorchidism: functional classification and management strategy. Urology. 1992, 39: 384-388.
